Koch's Tour
Fasten your seatbelts – it's gonna be a bumpy ride!
Skip to content
Home
Contact Me
Why Velma?
Your Guide
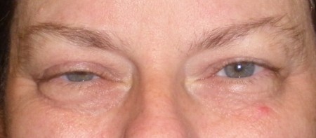
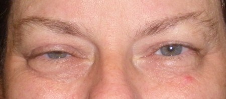
Myasthenia Eyes
By
Teresa in Fort Worth, TX
|
Published
October 4, 2012
|
Full size is
450 × 197
pixels
APTOPIX Mideast Egypt US
How to Pick Up Bitches
Eyes at 9:00 at night 07.11.2011
Bookmark the
permalink
.
Leave a Reply (Please be nice - my mom reads my blog!)
Cancel reply
Δ
Comment
Subscribe
Subscribed
Koch's Tour
Join 387 other subscribers
Sign me up
Already have a WordPress.com account?
Log in now.
Koch's Tour
Subscribe
Subscribed
Sign up
Log in
Copy shortlink
Report this content
View post in Reader
Manage subscriptions
Collapse this bar